この記事の内容
「膝が痛くて階段がつらい」「正座ができなくない」こうした訴えで受診される患者さんの病気の一つに変形性膝(ひざ)関節症があります。
変形性膝関節症は、加齢などの様々な原因により、軟骨がすり減り、関節が変形することで、痛みや動きの制限を引き起こす疾患です。
症状が進行すると手術が必要になる場合があります。
また、痛みのために活動量が減ると、生活習慣病のリスクも高まります。
このコラムでは変形性膝関節症の原因や症状、治療法について、整形外科の専門医がわかりやすく解説します。
疫学(えきがく)
日本では、変形性膝関節症に関連する人は合わせて約3300万人とされ、そのうち痛みを伴う患者さんが約800万人、症状のない関節変化のみの方が約2500万人存在するとされています。
40歳以上では男性 42.6%、女性62.4%のかたに変形性膝関節症があり、年齢を重ねるほど、その割合も増加します(図1)。
要介護となる原因の約5%、要支援となる原因の約20%が関節症によるものです。
要支援の原因としては関節症が疾病の中では最も多いです。(図2)
そのため、自立した生活を維持するために、変形性膝関節症に対する対策が重要となります。

(図1)N. Yoshimurae ,et al. Int. J. Epidemiol. 2010; 39: 988

(図2)民生活基礎調査 令和4年国民生活基礎調査
原因
変形性膝関節症の原因としては、大きく 一次性(原発性) と 二次性 に分けられます。
一次性(原発性)
外傷や病気によらず、加齢や体重、生活習慣など複合的な要因によって徐々に軟骨がすり減って発症するものです。変形性膝関節症の90%を占めています。
BMIは身長に対して体重が多いか少ないかを表す指標です。このBMIが5上昇すると、変形性膝関節症の発症リスクが1.3倍増加するという報告もあります。(3)
(3)Jiang L ,et al. Joint Bone Spine. 2012; 79: 291-7
二次性
外傷や病気などを契機に関節への負担がかかり、変形性関節症が発症するものです。主な病態としては下記のものが挙げられます。
- 半月板損傷や靭帯損傷
- 骨折の既往
- アライメント異常(O脚やX脚など)
- 関節リウマチや化膿性膝関節炎など炎症性疾患
症状
初期症状としては関節のこわばり程度ですが、椅子からの立ち上がりや歩きはじめの痛みが特徴的です。
進行すると、歩行や階段昇降で強い痛みが出ますが、安静時には軽快するのが特徴です。
さらに増悪すると、正座などの曲げ伸ばしが難しくなり、関節に水がたまる、歩行が困難になるといった症状が現れます。
痛みのために活動量が減り、生活の質が低下します。
痛みのメカニズム
軟骨自体には神経がないため、軟骨がすり減るだけで痛みが生じるわけではありません。
実際にX線で変形が強いのに痛みがない人もいれば、変形が軽度なのに強い痛みを感じる人もいます。
変形性膝関節症による痛みの主な原因は以下のような要因が考えられます。
- 滑膜炎(かつまくえん):摩耗した軟骨や破片により関節の袋(滑膜)に炎症が起こり、痛みが生じます。
- 軟骨下骨損傷/骨髄浮腫(なんこつかこつそんしょう/こつずいふしゅ):軟骨の下に存在する骨に微小な骨折などが生じ、痛みが生じます。
- 関節水腫(かんせつすいしゅ):軟骨が損傷し、炎症が生じることで、関節液が増えた状態です。関節の中の圧が高まり、腫れぼったさ、動かしにくさ、痛みが生じます。
- 中枢感作:(ちゅうすうかんさ):痛みが長く続くと、脳や神経が敏感になり、本来なら痛みを感じないような刺激でも強く痛むようになります。
つまり、「変形がある=必ず痛い」わけではなく、炎症や骨・軟部組織の状態によって痛みが生じるということです。

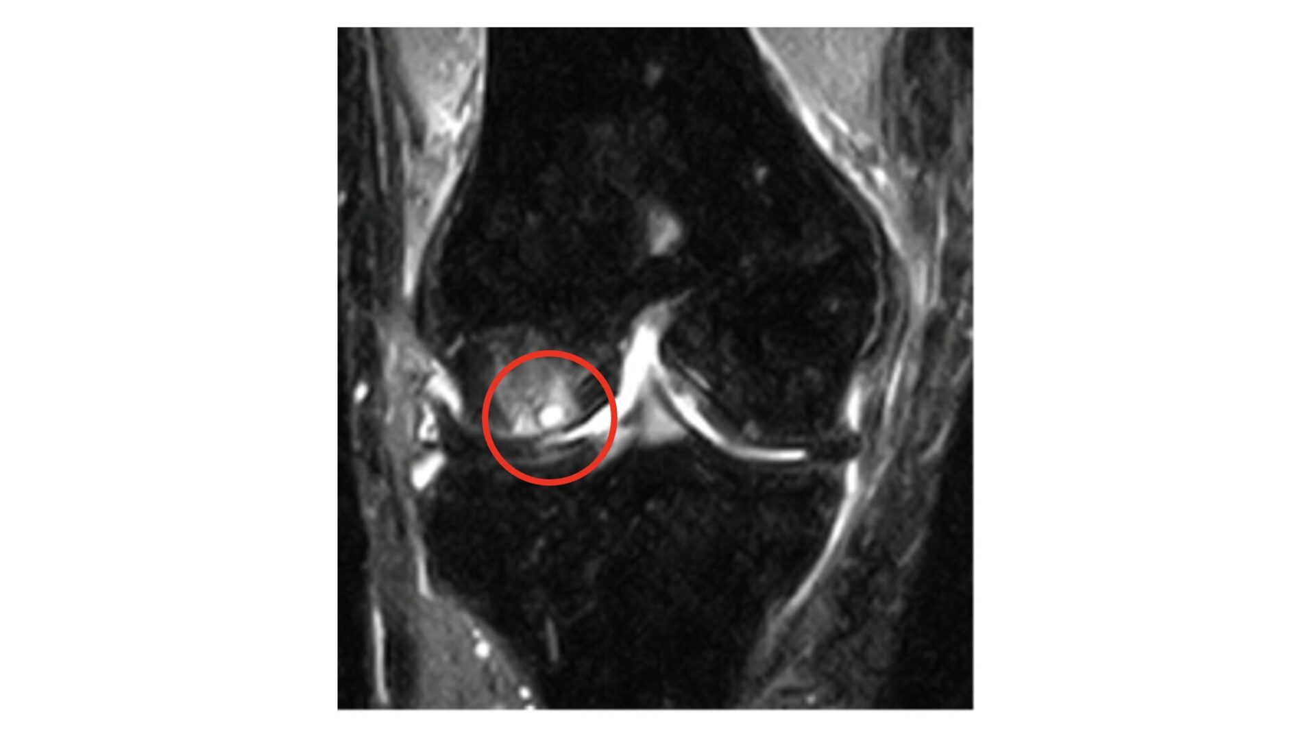
軟骨下損傷/水疱形成/骨髄浮腫
膝痛をきたす、その他の疾患
以下のような疾患が考えられ、これらは変形性膝関節症と合併する場合もあります。
- 半月板損傷
- Hoffa病(膝蓋下脂肪体炎:しつがいかしぼうたいえん)
- 特発性大腿骨顆部骨壊死(とくはつせい だいたいこつかぶ こつえし)
- その他、前十字靭帯断裂など

半月板損傷
画像診断
骨や関節内の状態を評価するために、以下のような画像検査を行います。
X線(レントゲン)
立った姿勢や立った状態で少し膝を曲げた姿勢で撮影を行います。
関節の隙間が狭くなっているか、骨棘や硬化像があるかを確認します。
病期分類として、よく使われるのがKellgren-Lawrence分類(KL分類)です。
- Grade 0:正常な膝関節
- Grade 1:疑わしい変化(関節裂隙の狭小化、わずかな骨棘など)
- Grade 2:軽度の関節裂隙の狭小化、明らかな骨棘
- Grade 3:中等度の関節裂隙狭小化、骨硬化像
- Grade 4:高度の関節裂隙消失、著しい変形
MRI
軟骨・半月板・骨髄病変・滑膜まで評価でき、関節内の詳細な情報を得るのに有用です。
CT
骨の形状を詳細に評価できます。手術計画を行う際に有用です。
エコー
関節水腫や滑膜炎の確認に役立ち、リアルタイムに膝を動かしながら評価できる点が特徴です。
ただし、X線やMRIで異常所見があったとしても、それが必ず症状の原因とは限りません。診断には、丁寧な身体診察と正確な画像所見を組み合わせた総合的な判断が重要です。
治療法
根本的に治す治療法は現時点で確立されていませんが、症状を軽減することは可能です。変形性膝関節症の主な症状は痛みであり、痛みを中心とした症状の改善が治療の目的となります。
保存療法で十分な効果がない場合に、手術の効果を十分に説明したうえで、手術療法を検討します。
保存療法
基本的には手術ではない保存療法が第一選択となります。 以下の方法を組み合わせることで症状の改善を目指します。
- 内服薬や外用薬:NSAIDs、アセトアミノフェン、抗うつ薬、弱オピオイドなどの薬を単独もしくは組み合わせて使用します。症状が落ち着けば中止することも可能です。
- リハビリ・筋力維持:大腿四頭筋訓練やストレッチ、姿勢指導などにより筋力を高め、膝の安定性を向上させます。
- 注射:ヒアルロン酸は関節の潤滑を高め、炎症を抑える効果が期待されます。短期間のステロイド注射を行うこともあります。ただし、頻回なステロイド注射では軟骨損傷や変形性膝関節症進行の危険性があるため、注意が必要です。
- 生活指導:適切な体重管理、膝に負担をかけない動作、適度な運動の継続が重要です。
- 装具療法:膝サポーターやO脚に有効な外側が高くなっているインソールを用いることで、膝への負担を軽減します。
手術療法
保存療法で効果が不十分な場合に検討します。
- 人工膝関節全置換術(TKA):膝関節全体を人工関節に置き換える方法です。変形が強い症例が適応となります。
- 部分置換術(UKA):内側または外側の限られた部位のみを人工関節に置換する方法です。変形が軽度で関節の可動域が保たれている場合に適応となり、TKAより侵襲が小さいため回復が早いとされます。
- 骨切り術:脛骨(けいこつ)や大腿骨の一部を切って角度を調整し、体重のかかる部分を移動させる手術です。比較的若く活動量の多い方に適応されます。
まとめ
変形性膝関節症は身近な病気です。多くの方は保存療法によって症状をコントロールでき、必ずしも手術が必要になるわけではありません。
必ずしも画像の変形=症状の原因となるわけではないので、正確な診断、適切な治療を行うことで、ADLを維持しながら、手術を回避できる可能性があります。
痛みが持続したり、不安であったりする場合には早期に医療機関を受診し、痛みの原因をしっかりと見極めることが重要です。
よくある疑問・誤解
- Q. ヒアルロン酸注射後は入浴できない?
A. 通常は当日から可能とされていますが、多くの施設では「シャワー可・入浴は控える」としています。受診する施設の医師に確認してみてください。 - Q.サプリは効きますか?
A. グルコサミンやコンドロイチンの効果を示す根拠は乏しく、ガイドラインでも推奨されていません。 - Q.正座はできるようになりますか?
A. 症状が改善すれば可能になる場合もありますが、膝に負担がかかる動作のため、無理に続けることは勧められません。 - Q.治療やお灸は効果ありますか?
A. 軽度の症状改善を示す報告はありますが、質の高い研究は少なく、有用性は明確ではありません。さらに、化膿性膝関節炎や火傷のリスクがあるため、ガイドラインでは推奨されていません。

この記事を監修した医師整形外科専門医 鈴木医師
このような方はご相談ください
- 膝の痛みを解消したい
- 正座ができなくてつらい
- 膝が痛くて動けない