物を持ったり握ったり、スポーツをしていたりして肘の外側が痛くなることはありませんか。
その症状はテニス肘と呼ばれる上腕骨外側上顆炎(じょうわんこつがいそくじょうかえん)かもしれません。
使いすぎなどが原因で、肘の外側への負担が増え、痛みが生じます。
そのまま放置しておくと、痛みが長く続き、手術が必要になる場合もあります。
このコラムでは、テニス肘の原因・症状・診断・治療法について、整形外科 専門医がわかりやすく解説します。
テニス肘とは?
正式には、テニス肘は上腕骨外側上顆炎(がいそくじょうかえん)と呼ばれます。手首や指の使いすぎ(over use)により、肘の外側に痛みが生じます。
テニス愛好家に多いため、通称「テニス肘(テニスエルボー)」と呼ばれていますが、実際には、仕事や家事が原因で発症する場合も少なくありません。

主な症状
通常、安静にしている時の痛みはなく、「ものを掴む」「タオルを絞る」「キーボードを打つ」などの動作で痛みを感じます。
肘の外側のでっぱり部分に痛みを感じることが多いですが、前腕の痛みを訴える場合もあります。
主な原因
手首を伸ばす筋肉である短橈側手根伸筋腱(たんとうそくしゅこんしんきんけん)の骨の付着部で、微小な損傷を繰り返すことが原因とされています。指を伸ばす筋肉である総指伸筋腱(そうししんきんけん)も関与しています。
身体所見
肘の外側のでっぱり部分に痛みがあり、押すと痛みが生じます。
以下のような痛みの誘発試験をおこない、肘の外側から前腕に痛みが誘発されるかを確認します。
- 手関節屈曲テスト:肘を伸ばしながら、手首を反らして抵抗を加えます。
- 中指伸展テスト:肘を伸ばしながら、中指をのばす。その際に抵抗を加えます。

左側:手関節背屈テストの画像になります。
右側:中指伸展テストの画像になります。
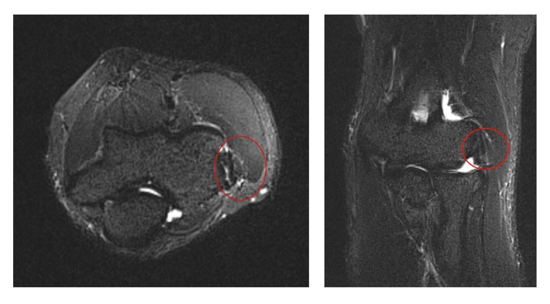
画像診断
骨や関節内などの状態を評価するために、以下のような画像検査を行います。
- X線(レントゲン):テニス肘特有の異常所見はありませんが、その他の病気の除外のために行います。
- MRI:腱の付着部に変性や損傷を確認します。その他関節内や骨、靭帯の評価も行います。
- エコー:リアルタイムに肘や手首を動かしながら評価できる点が特徴です。テニス肘では新生血管を認めることもあります。

上記は実際に撮影したテニス肘のMRI画像です。
テニス肘の治療
大きく分けて手術を行わない保存療法と手術療法に分けられます。
最初は保存療法を行います。85−90%の症例で症状が緩和するとされています。
ただし、6〜12ヶ月間保存療法を行っても症状が改善しない場合には手術療法を検討します。
保存療法
多くの患者さんは保存療法で改善が期待できます。
- 生活指導:ものを強く握る動作を避ける、ものを持つときは手のひらを上にして持つなどの生活の動作の改善を行います。ストレッチやリハビリテーションも併用することで症状が改善するとされています。
- 薬物療法:消炎鎮痛薬や湿布など
- 装具療法:テニス肘用のサポーター
- 注射療法:症状が強い場合に、短期的にステロイドなどの注射をおこないます。
※多血小板血漿(PRP)局所注射:自費診療ですが、上腕骨外側上顆炎診療ガイドライン2024では、弱いながら推奨されています。
”注射後1年間は痛みや機能が改善し、3ヶ月以上ではステロイド注射より効果が期待できます”
手術療法
6〜12ヶ月間保存療法を行っても症状が改善しない場合に手術を検討します。
様々な手術方法があります。
いずれの方法においても、短橈側手根伸筋の付着部の病的な腱組織を切除することを目的としています。
まとめ
テニス肘は、テニスを行うかただけでなく、身近な疾患です。
多くのかたが保存療法で症状をコントロール可能です。
痛みを放置すると慢性化してしまう可能性があるため、早めの対応が大切です。
個々の患者に合わせた治療を行うことで、普段の生活がぐっと楽になります。
違和感の段階でケアを始めることが大切ですので、気になる症状があれば早めに最寄りの整形外科にご相談ください。

この記事を監修した医師整形外科専門医 鈴木医師
このような方はご相談ください
- テニス肘の自覚がある
- 痛くてもテニスがしたい
- テニス肘を予防したい