物を持ったり握ったり、スポーツをしていたりして肘の内側が痛くなることはありませんか。
その症状はゴルフ肘と呼ばれる上腕骨内側上顆炎かもしれません。使いすぎなどが原因で、肘の内側への負担が増え、痛みが生じます。
そのまま放置しておくと、痛みが長く続き、手術が必要になる場合もあります。
このコラムでは、ゴルフ肘の原因・症状・診断・治療法について、整形外科の専門医がわかりやすく解説します。
ゴルフ肘とは?
正式にはゴルフ肘は上腕骨内側上顆炎(ないそくじょうかえん)と呼ばれます。
手首や指の使いすぎ(over use)により、肘の内側に痛みが生じます。
ゴルフ愛好家に多いため、通称「ゴルフ肘」と呼ばれていますが、実際には、仕事や家事が原因で発症する場合も少なくありません。

主な症状
手のひらを内側にしたり、手首を曲げたりする筋肉(回内屈筋群)の使いすぎによって、微小な損傷を繰り返すことが原因とされています。
身体所見
肘の内側のでっぱり部分に痛みがあり、押すと痛みが生じます。以下のような痛みの誘発試験をおこない、肘の内側から前腕に痛みが誘発されるかを確認します。
- 手関節屈曲テスト:肘を伸ばしながら、手首を曲げて抵抗を加えます。
- 問診:痛みが出る動作や時間帯、経過などを詳しくうかがいます。
- 前腕の回内テスト:肘を曲げた状態で手のひらを内側に返し、抵抗を加えます。

上記は前腕の回内テストの画像になります。
画像診断
骨や関節内などの状態を評価するために、以下のような画像検査を行います。
- X線(レントゲン):ゴルフ肘特有の異常所見はありませんが、その他の病気の除外のために行います。
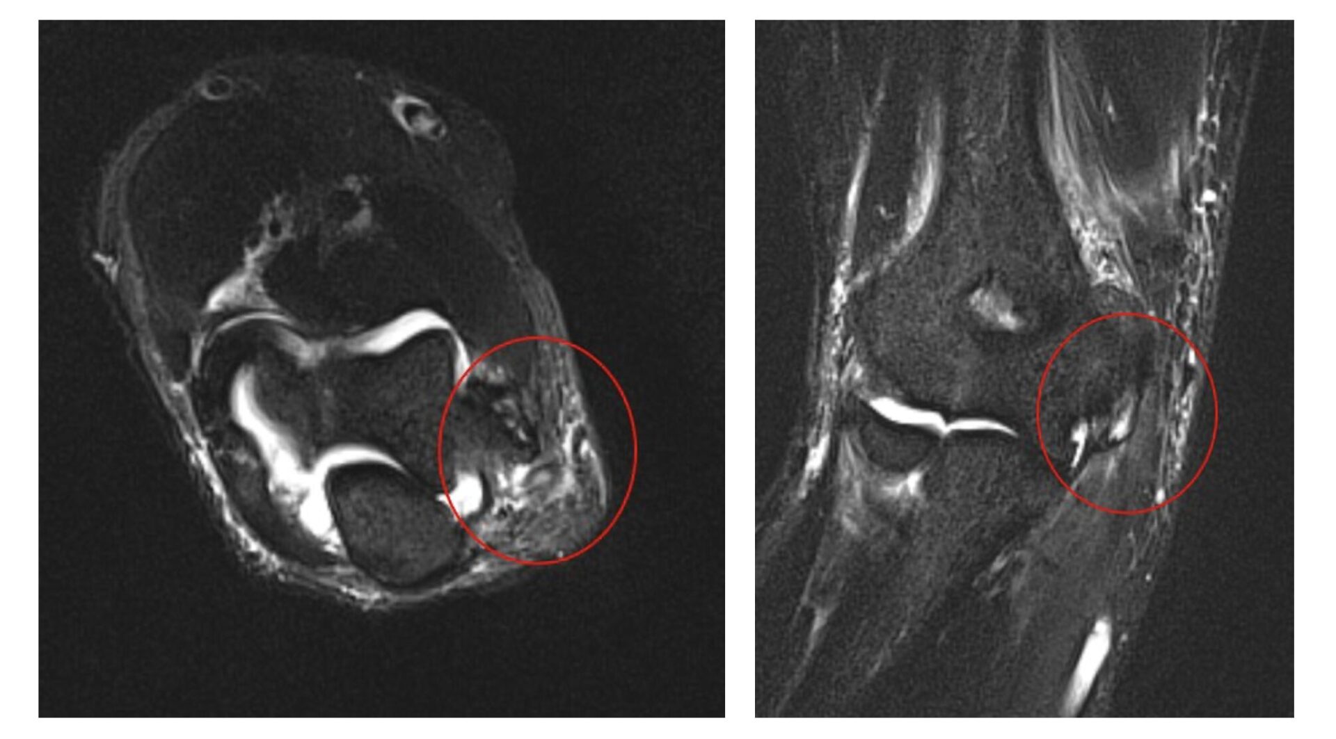
- MRI:腱の付着部に変性や損傷を確認します。その他関節内や骨、靭帯の評価も行います。
- エコー:リアルタイムに肘や手首を動かしながら評価できる点が特徴です。ゴルフ肘では新生血管を認めることもあります。
![]()
実際に撮影したゴルフ肘のMRI画像
ゴルフ肘の治療
大きく分けて手術を行わない保存療法と手術療法に分けられます。
最初は保存療法を行います。85−90%の症例で症状が緩和するとされています。
ただし、4〜6ヶ月間保存療法を行っても症状が改善しない場合には手術療法を検討します。
保存療法
多くの患者さんは保存療法で改善が期待できます。
- 生活指導:ものを強く握る動作を避ける、ものを持つときは手のひらを上にして持つなどの生活の動作の改善を行います。ストレッチやリハビリテーションも併用することで症状が改善するとされています。
- 薬物療法:消炎鎮痛薬や湿布など
- 注射療法:症状が強い場合に、短期的にステロイドなどの注射をおこないます。
手術療法
4〜6ヶ月間保存療法を行っても症状が改善しない場合に手術を検討します。
回内屈筋群の付着部の病的な腱組織を切除します。神経症状があると手術の成績が悪いとされてます。
まとめ
ゴルフ肘はゴルフを行うかただけでなく、どなたにも起こり得る身近な疾患です。多くのかたが保存療法で症状をコントロール可能です。
痛みを放置すると慢性化してしまう可能性があるため、早めの対応が大切です。
気になる症状があれば早めにお近くの整形外科にご相談ください。

この記事を監修した医師整形外科専門医 鈴木医師
このような方はご相談ください
- ゴルフ肘の自覚がある
- ゴルフ肘でもゴルフがしたい
- ゴルフ肘を予防したい