朝、ベッドから立ち上がった瞬間に走るかかとの鋭い痛み。「しばらく歩けば治まるからと放置しているけれど、最近は夕方にも痛くなってきた」
その症状は足底腱膜症かもしれません。
足底腱膜症は足底筋膜炎や足底腱膜炎などと呼ばれています。
約10〜15%が罹患するとされ、整形外科外来でも非常に多く見られる疾患です。
「たいしたことはないだろう」と受診が遅れ、慢性化してしまうケースもあります。
適切な診断と治療なしに放置すると、痛みが長く続く場合もあります。
この記事では足底腱膜症の疫学・病態・症状・検査・治療法について解説します。
「なぜ痛いのか」「どう治せばよいのか」の答えを探していきましょう。
足底腱膜症とはどんな疾患か
足底腱膜(足底筋膜)は、かかとの骨から足の指の付け根まで伸びる扇状の組織です。
歩くたびに体重を支え、足のアーチ構造を維持する重要な役割を担っています。
この組織の付着部に繰り返し負荷がかかることで微小断裂が蓄積し、変性が進んだ状態が足底腱膜症です。そのため病態の本質は炎症ではなく退行性変化(変性)です1)。
発症のピークは40〜60歳で、患者の約83%が25〜65歳に発症しています1)。

こんな症状があれば要注意
最も特徴的なのは、朝ベッドから立ち上がった最初の一歩や、長時間座ったあとの動き始めに感じるかかとの鋭い痛みです。
しばらく歩き続けると痛みが和らぐことが多いのですが、長時間歩いたり立ち続けたりすると再び増悪します。
「朝だけ痛い」「少し歩けば治まる」という状態は、一見軽症に思えますが注意が必要です。この段階で適切にケアしないと、痛みが一日中続く慢性化した状態へと進行することがあります。
症状が2週間以上続いている場合は、早めに整形外科を受診することをお勧めします。
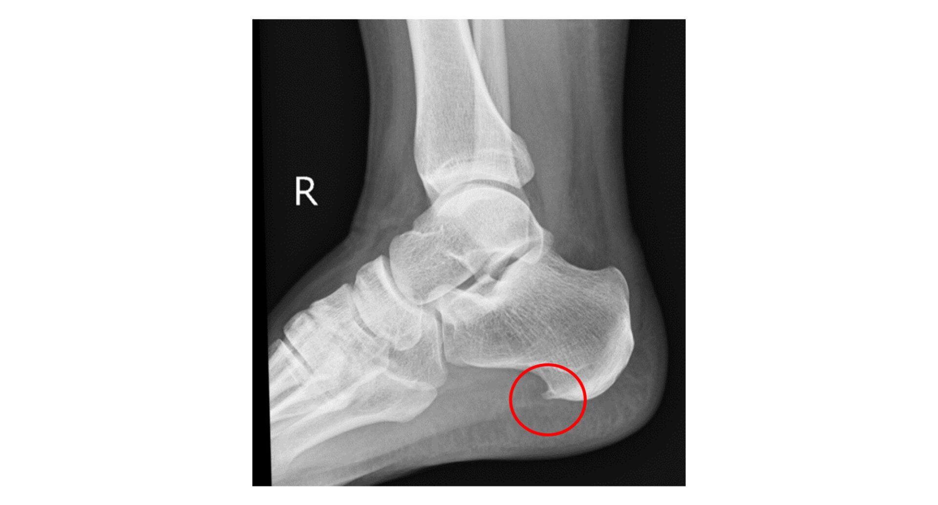
検査・診断——何でどう調べるか
診断は問診と触診が基本ですが、画像検査が治療方針の決定に大きく役立ちます。
-
超音波(エコー)検査
腱膜の厚さをリアルタイムで評価できる検査です。足底腱膜症の患者は健常者と比べて厚くなると報告されており3)、超音波は最も広く用いられる画像診断法です。
放射線被曝がなく、外来で迅速に実施できます。 -
MRI検査
超音波では捉えにくい深部の変性・部分断裂・骨髄浮腫まで詳細に確認できます。
特に「レントゲンで異常なし」と言われても痛みが続く場合、MRIで初めて腱膜の変性や断裂が確認されるケースは少なくありません。
また踵骨疲労骨折・神経の圧迫・腫瘍など他疾患との鑑別にも不可欠です。
当院ではMRIを院内に完備しており、受診当日に精密画像診断を行うことも可能です。
-
レントゲン(X線)検査
踵骨棘(かかとの骨に生じるトゲ状の突起)の有無は確認できます。
ただし踵骨棘は足底筋膜炎の直接原因ではなく、症状との相関も限定的とされているため、レントゲン単独での診断には限界があります。
治療の選択肢
治療は症状の程度・罹患期間・生活スタイルに合わせて段階的に選択します。
適切な保存療法を継続した場合、約75%が12ヶ月以内に自然軽快するとされており1)、まずは保存療法が基本となります。
-
保存療法
痛み止めの薬や痛みを悪化させる動作の一時的な制限、ストレッチが基本となります。 -
薬物療法
消炎鎮痛薬の外用・経口投与、ステロイドの注射を行います。
ただしステロイド注射を繰り返し使用すると腱膜断裂や脂肪パッドの萎縮を招くリスクがあるため、使用回数には慎重な判断が必要です。 -
ストレッチ
足底腱膜やアキレス腱のストレッチが有効です。図のようなダイナミックエクササイズが有効とされています。
-
装具療法
インソール(中敷き)でアーチをサポートし腱膜への負荷を分散させます。 -
体外衝撃波療法(ESWT)
体外から衝撃波を患部に照射し、変性組織の修復と血流改善を促す治療法です。
ESWTが1〜6ヶ月にわたって一貫して有効と確認されており3)、他の保存療法で改善しない慢性例に対して特に推奨されています。
国内では6ヶ月以上の保存療法でも改善しない難治性の場合に保険適用となることがあります。 -
PRP療法(再生医療)
患者自身の血液から血小板を濃縮した成分(PRP:多血小板血漿)を抽出し、患部に注射する治療法です。血小板に含まれる成長因子が変性した組織の修復を促します。
ステロイドと比較して、痛みや機能の改善において有意な優位性を示しており、長期的な持続効果においてPRPが優位との報告4)が蓄積されています。⚠️ 注意
PRP療法は再生医療等安全性確保法に基づいて提供される治療で、自費診療となります。
効果には個人差があり、すべての方に同様の改善が得られるわけではありません。
担当医と十分にご相談のうえ、ご自身の状態に合った治療法をお選びください。 -
手術療法
すべての保存的治療を十分に行っても改善しない場合に限り、腱膜の一部を切離する手術を検討します。
日常生活でできるセルフケア
治療と並行して、日常生活でのセルフケアも大切です。
最も手軽で効果的なのが、足底ストレッチです。足の指を手で反らせ10〜20秒キープするだけで、朝の一歩目の痛みを和らげることができます。
ふくらはぎ・アキレス腱のストレッチを1日2〜3セット続けることも重要です。
靴の選択も見落とされがちなポイントです。
クッション性と踵のサポートがある靴を選び、薄底のサンダルやフラットシューズは腱膜への負担が大きいため日常使いは控えめにしましょう。
また、BMIと足底筋膜炎の関連があるため2)、体重管理も長期的な再発予防として重要な視点です。
まとめ
足底筋膜炎は一般人口の約10〜15%が経験する身近な疾患ですが、放置すると慢性化します。
病態の本質は炎症ではなく退行性変化であり、正確な診断が適切な治療への第一歩です。
超音波やMRIで腱膜の状態をきちんと評価したうえで、保存療法を基本としながら、難治例には体外衝撃波療法やPRP療法(再生医療)といった選択肢があります。
毎日のストレッチや靴の見直しといったセルフケアの継続も、回復と再発予防の両面で大切な役割を果たします。
「朝の一歩目が痛い」「何ヶ月経っても治らない」とお悩みの方は、ぜひ一度ご相談ください。
参考文献
- 1)Benjamin K et al. Plantar Fasciitis .StatPearls 2024
-
2)Karrie L Hamstra-Wright et al. Risk Factors for Plantar Fasciitis in
Physically Active Individuals: A Systematic Review and Meta-analysis. Sports
Health. 2021 -
3)A Systematic Review of Systematic Reviews on the Epidemiology,
Evaluation, and Treatment of Plantar Fasciitis
(PMC8705263) https://pmc.ncbi.nlm.nih.gov/articles/PMC8705263/ -
4)Abdulsalam Mohammed Aleid et al. Efficacy of PRP versus corticosteroid
injections in plantar fasciitis: A systematic review and meta-analysis J
Taibah Univ Med Sci.2025

この記事を監修した医師整形外科専門医 鈴木医師
このような方はご相談ください
- 足裏が痛い
- 痛みが続く
- 足底腱膜症か知りたい